【虫歯治療2日目】嬉来には程遠い⁉たった数か月で真っ黒に進行した虫歯に奮闘する関西GALひなた♡フェチ動画BBMoviesのPPV単品課金

トップページ > PPV > 歯フェチLABO > 【虫歯治療2日目】嬉来には程遠い⁉たった数か月で真っ黒に進行した虫歯に奮闘する関西GALひなた♡
作品案内
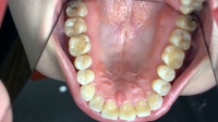
前回衝撃の上前5本全部虫という前代未聞の不名誉な記録を樹立してしまった柚木ひなたちゃんの虫治療2日目。
彼女の内には依然として複数の虫が存在しているのですが…

治療前検診で先生から衝撃の一言が…
先生『前回より黒くなってますね』

なんとたった数か月で虫が分かりやすい程、進行していたのでした…。

ショックを隠せないひなたちゃん。
落ち込んでも虫が治るわけではないという事で、早速今回の治療について相談するも、どれも重症でどこから手を付けたらいいのか中々決まらない。

先生、ディレクター、ひなたちゃんの3人に協議の末
左上奥のに着手する事が決まりました。

痛みに耐えきれず麻酔を複数打ち込んだひなたちゃんは無事の切れるのか…??
注目の2日目治療開始です‼

==============================
【フルHD】
#1◇車内インタビュー
#2◇治療前検診/麻酔   
#3◇虫治療
#4◇接写ver
#5◇doctor'seye(先生目線映像)

【スマホ用】
#6◇車内インタビュー/治療前検診/麻酔/虫治療
#7◇接写ver
#8◇doctor'seye(先生目線映像)
カテゴリ:
のどちんこ
レーベル:
歯フェチLABO
出演:
柚木ひなた  
公開日:
1月28日
ダウンロード期限:
購入日から7日 ※ダウンロードしたファイルは無期限で視聴可能です。

作品プレビュー

トップページ > PPV > 歯フェチLABO > 【虫歯治療2日目】嬉来には程遠い⁉たった数か月で真っ黒に進行した虫歯に奮闘する関西GALひなた♡

歯フェチLABOの新作タイトル 最新40件を表示しています

一覧表示   画像表示