【虫歯治療】仕事に忙殺されて長年間放置された口内…塩見彩ちゃんの右上下にタービン侵入‼フェチ動画BBMoviesのPPV単品課金

トップページ > PPV > 歯フェチLABO > 【虫歯治療】仕事に忙殺されて長年間放置された口内…塩見彩ちゃんの右上下にタービン侵入‼
作品案内
※【本日12/7限定 300Pバックキャンペーン作品】※

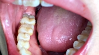
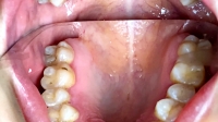
4年ぶりにbbmに再登場を果たした塩見彩ちゃん。4年間は仕事も順風満帆で充実した日々を送っていたそうで何より。

しかし時間の経過は恐ろしいもので…忙しすぎた故の代償なのか。。

疑惑が浮上‼
本人も医者に行く事を切望。利害が一致した我々は、手を取りいざ医者へ…
目視で4ヵ所はあるとの診断を受け内心ショックを受ける彩ちゃんにタービンが迫る。

タービンで削られる虫を鮮明に撮影する事に手ごたえを感じたスタッフと虫を治療出来てご満悦の彩嬢。

win-winでめでたしめでたし⁉


==============================
【フルHD】
#1◇車内インタビュー
#2◇診察/レントゲン/掘削治療
#3◇接写ver
#4◇doctor'seye(先生目線映像)


【スマホ用】
#5◇車内インタビュー~診察/レントゲン/掘削治療
#6◇接写ver
#7◇doctor'seye(先生目線映像)
カテゴリ:
のどちんこ
レーベル:
歯フェチLABO
出演:
塩見彩  
公開日:
12月6日
ダウンロード期限:
購入日から7日 ※ダウンロードしたファイルは無期限で視聴可能です。

作品プレビュー

トップページ > PPV > 歯フェチLABO > 【虫歯治療】仕事に忙殺されて長年間放置された口内…塩見彩ちゃんの右上下にタービン侵入‼

歯フェチLABOの新作タイトル 最新40件を表示しています

一覧表示   画像表示